• Professional healthcare
  • Products & Services
  • Inspiration
  • Support & Contact
  • Shop
‌
‌
‌
‌
‌
‌
‌
‌
‌
‌
‌
‌
‌
‌
‌
‌
‌
‌
‌
‌
  • Consumer productsConsumer products
    • Home
    • Support
    • Product registration
    • My Philips
  • Healthcare professionalsHealthcare professionals
    • Home
    • Products
    • Services
    • Specialties
    • Solutions
  • Other business solutionsOther business solutions
    • Lighting
    • Automotive
    • Dictation Solutions
    • More
    • Hearing solutions
    • Display solutions
  • About usAbout us
    • Home
    • News
    • Investor Relations
    • Careers
    • More
    • Innovation
    • Environmental, Social and Governance
  • Contact and supportContact and support
    • Customer support
    • Professional healthcare support
    • Company contacts
  • Stay up-to-dateStay up-to-date
  • Select your country / languageGlobal / English
  • Privacy Notice
  • Terms of use
  • Cookie notice
© Koninklijke Philips N.V., 2004 - 2026. Alle rettigheter forbeholdt.
‌
‌
‌
‌
‌
‌
‌
‌
‌
‌
‌
‌
‌
‌
‌
‌
‌
‌
‌
‌
  1. Diagnostic and clinical informatics
  2. Radiology informatics
  3. IntelliSpace Portal 12
IntelliSpace Portal 12
All your advanced analysis needs, one comprehensive solution​​
Radiology informatics
‌
‌
‌
‌
‌
‌
‌
‌
‌

IntelliSpace Portal 12

All your advanced analysis needs, one comprehensive solution​​
Radiology informatics
Intelligent, automated and connected Advanced Visualization solution. First-time-right, intelligent and quantitative clinical insights, designed to support your image diagnostic confidence, while still reducing your time to report through optimized workflows and results automation. IntelliSpace Portal 12 is a scalable image post-processing platform seamlessly integrated within your enterprise.

All Philips professional healthcare customers can open, track and manage equipment service tickets in our Customer Services Portal at no cost. Register for an account here.
For all support resources and contact information, visit our Support hub.
Vascular analysis innovated workflow
AI based lung nodule detection
Workflow optimizations across apps
Features
Vascular analysis innovated workflow designed for faster result​
Multi-Modality Advanced Vessel Analysis (AVA) now offers¹ a new user interface and simplified intuitive workflow, designed to speed your analysis work while continuing to support in clinical decision making. Additional benefits include first-time-right automatic head and neck bone removal and vessel extraction improvements, processed and ready for review in less than ten (10) seconds, new interactive vessel editing tools for coping with challenging vessel’s pathologies via 1-click easy corrections, and batch results saving automation, all intended to accelerate your time to report.​
Vascular analysis innovated workflow designed for faster result​
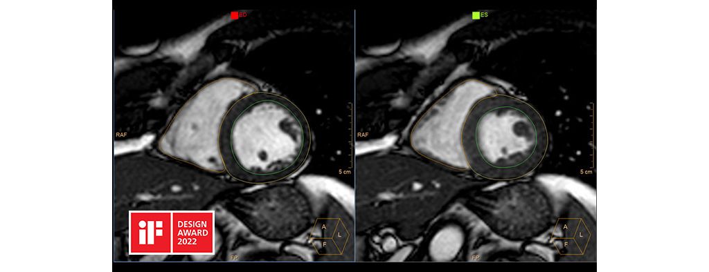
AI based RV/LV automatic segmentation for functional analysis​
MR Cardiac functional analysis now offers a fully automatic AI-based segmentation of short-axis functional datasets, for both the left and right ventricles, together with automatic detection of end-diastole and end-systole phases. Results processed automatically and displayed on images in less than 20 seconds. Completion of LV and RV functional analysis was demonstrated to be completed in 5 min.¹¹
AI based RV/LV automatic segmentation for functional analysis​
MR 4D flow² ³ for heart and main arteries
MR Caas 4D Flow² ³ is a post-processing software solution that enables users to generate 3D volume reconstructions for MR datasets, to visualize and evaluate blood flow in cardiovascular structures, including heart valves, chambers, and vessels, based on cardiovascular MR 4D Flow imaging. Main benefits include quantification of blood flow in just a few clicks, streamlines visualization within main vessel pathologies such as ascending aorta aneurism and intra-cardiac analysis with automated valve tracking to visualize flow over heart valves, recently shown to reduce analysis time and improve reliability of valvular flow quantification⁴.
MR 4D flow² ³  for heart and main arteries


Recommended products

  • Cardiovascular Workspace Image and Information Management Solution
    Cardiovascular Workspace
    Cardiovascular Workspace is a scalable and interoperable solution that combines deep clinical expertise with technological innovation to help streamline workflow and improve operational performance throughout the complete cardiovascular care continuum.
Disclaimer
¹ New version not available for sale currently in the US, Pending 510k.
² Caas is a trademark of Pie Medical Inc.
³ These functionalities may not be available in all territories. Please contact your Philips representative for more details.
⁴ Radiology 2019; 290:70–78: Automated Cardiac Valve Tracking for Flow Quantification with Four-dimensional Flow MRI.
⁵ Not available for sale in the US.
⁶ The Photo Realistic Volume Rendering (PRVR) is not intended for diagnostic image review.
⁷ ShihChung et al. AJR 2018; 210:480-488.
⁸ ClearRead CT is a trademark of Riverain Technologies inc.
⁹ Based on Philips pre-fill algorithm.
¹⁰ Content sent via email is not for diagnostic use.
¹¹Average RV/LV analysis time measured on validation study 4.2 min /- 0.4 (SE)